Skip to content

PlayVids.Online

PlayVids.Online offers exclusive video content with seamless streaming — designed for a premium entertainment experience.

Tag: deadliest

Jewish community targeted in Australia's deadliest shooting in decades
  • Trending

Jewish community targeted in Australia’s deadliest shooting in decades

playvids14/12/20250

Tessa Wong,Bondi beachand Tiffanie Turnbull,Sydney Getty The shooting at Bondi beach targeted a Jewish Hanukkah event where many families were present The first day of Hanukkah was a sweltering one in Sydney – a perfect afternoon to spend at Australia’s most iconic beach. More than 1,000 people were enjoying a festival marking the occasion at […]

Read More
Hong Kong Residents Reel From Deadliest Fire in Decades
  • Trending

Hong Kong Residents Reel From Deadliest Fire in Decades

playvids28/11/20250

new video loaded: Hong Kong Residents Reel From Deadliest Fire in Decades Dozens were killed in a fire that engulfed several apartment buildings in Hong Kong. Firefighters were still battling the blaze on Thursday, and dozens of people were still missing. By Nader Ibrahim, Tiffany May and Lam Yik Fei for The New York Times […]

Read More
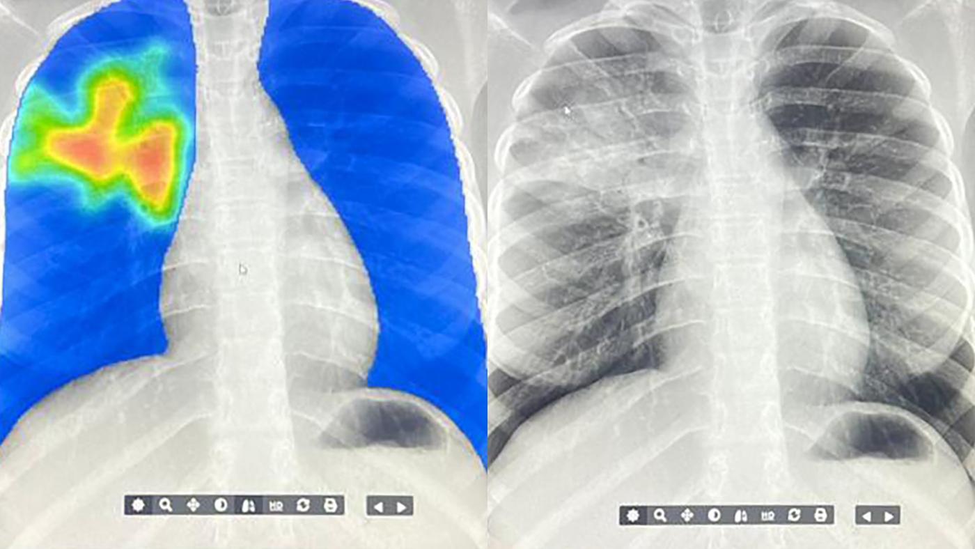
AI steps in to detect the world's deadliest infectious disease
  • Trending

AI steps in to detect the world's deadliest infectious disease

playvids06/11/20250

There’s a global shortage of radiologists. Now artificial intelligence is helping speed up the diagnosis of tuberculosis in hard-to-reach communities. (Image credit: ARCAD Santé PLUS) Source link

Read More

PlayVids.Online

  • Basketball
  • Combat
  • Cricket
  • Fitness
  • Football
  • Gear
  • Highlights
  • News
  • Tennis
Proudly powered by WordPress | Theme : News Brick Kit by BlazeThemes